科普|神秘的灌“拦”高手
20多年前准时候在电视机前收看《灌篮高手》动画的小朋友们都已经长成了大人,他们大部分已经为人父母。不知道各位爸爸妈妈们在听到宝宝第一声响亮的哭声时是怎样的心情?应该会比当年看到湘北队赢了比赛还要激动吧。那么你们知道吗?其实在孕期,也有一个灌“拦”高手哟!正是因为这位高手的正常发挥,我们的宝宝才能安稳的呆在妈妈的肚子里直到分娩。可是我们对它的了解却不多,那么我们今天就来聊一聊这个神秘的灌“拦”高手——胎盘。
胎盘是联系宝宝与妈妈的一个重要桥梁,它具有营养输送、代谢物排出、免疫耐受等作用,对孕期母胎安全起到至关重要的作用。产前检查时,医生通常会给孕妇进行数次超声检查。这项检查能够快速地了解胎儿在宫内生长的情况。我们会发现,在超声报告中,除了有关于胎儿双顶径、头围、腹围等的描述之外,还会出现关于胎盘的描述。今天我们来认识一下胎盘这个重要但了解很少的人体器官。
正常足月娩出的胎盘一般为圆形或者椭圆形,直径约15-20cm左右。它的样子有些类似于荷叶,脐带则像荷叶的茎一样,正常情况下也是位于胎盘的中心区域。胎儿面(宫内面向胎儿的部分)表面光滑,可以看到羊膜覆盖,在羊膜下可以看见脐血管像荷叶背面的脉络一样从脐带附着处向四周辐射走行。胎盘娩出后,母体面粗糙,可以看到不规则的浅沟,将胎盘分隔出15-30个胎盘小叶。
从一颗小小的受精卵,历经增殖、分裂、分化,最终发育为成熟的胎儿,整个过程大约需要38周。受精后第5-6天起,胚胎开始着床(植入),由胚胎外层细胞发育而来的滋养细胞打头阵,迅速地“入侵”子宫内膜。滋养细胞爆发式成长,覆盖住给母亲子宫内膜供给养分的螺旋动脉(重塑作用),使得其获得极大程度的扩张,以备提供更多的血液(养分)给胎盘。如果没有“入侵”与“重塑”这些重要环节,胎盘无法获得足够的血液,也就无法给胎儿灌注足够的营养,从而影响到胎儿的正常生长,并造成严重后果。
胎盘里面蕴含着大量的血液,却有着母体和胎儿两套独立的血液循环系统。它们之间存在着一种叫做胎盘膜的结构,亦称为胎盘屏障。这一结构能够拦截母血中的大分子物质进入胎儿,但对于抗体、大多数药物、部分病毒和螺旋体无屏障作用。在药品说明书中,我们常常会看到“孕妇禁用”、“孕妇慎用”的字眼,就是因为胎盘屏障无法阻隔这些可能导致胎儿受损的药物分子进入。
在胎儿自身器官功能成熟前,胎盘扮演着肝脏、肺、小肠等脏器的角色。因此如果胎盘功能损伤会带来灾难性的后果,比如流产、早产、死产、胎儿生长受限、先兆子痫等等。其中先兆子痫不仅仅会威胁到胎儿,甚至会威胁到母亲的生命安全。大多数的先兆子痫孕妇的胎盘体积明显偏小,病理学检查中也会出现更多、更严重的异常表现。越来越多的研究表明,胎盘功能异常会改变母婴健康状况,而这一改变可能是永久性的。在产前,我们往往难以确切的获知胎盘功能的改变,但超声技术给我们了解胎盘提供了帮助。
在产前超声中除了会关注胎儿本身之外,还通常会对胎盘进行检查,检查内容一般为附着部位、厚度、胎盘位置等。这些检查内容分别代表什么呢?除了这些以外,超声还可以怎么评估胎盘呢?
在常规的产前超声中,我们一般会首先观察胎盘附着部位以及胎盘位置。胎盘附着部位一般会被描述为前壁、后壁、宫底部等,这里的前壁、后壁是指的子宫壁。胚胎进入子宫腔内后,它会寻找合适的位置完成植入(着床)的过程,植入点可能是子宫蜕膜(妊娠期子宫内膜)的任意部位,因此会形成前壁胎盘、后壁胎盘等。不同的胎盘附着部位正常情况下并不会对胎儿造成影响。
这里要说明的是前壁胎盘也不等于前置胎盘,这是两种完全不同的概念。前壁胎盘指的是胎盘附着在子宫前壁,而前置胎盘则是指胎盘的边缘低于胎儿先露部,前置胎盘可能附着在子宫前壁,也可能附着在子宫后壁或者侧壁。临床表现为无痛性出血,可能会反复出现。在超声检查中,当胎盘达到或者覆盖宫颈内口时即可诊断为前置胎盘。如果胎盘与宫颈内口之间的距离在2厘米以上,胎盘属于正常位置,一般不需要予以特别关注。
那么如果超声报告中提示胎盘位置低,是不是就一定是前置胎盘呢?其实不一定,我们还需要关注的是检查孕周。研究表明,诊断为“前置”胎盘的时间越晚,在分娩前依旧是前置胎盘的概率就越高。如在孕32周时超声诊断为前置胎盘,大约有75%左右在分娩前仍然是前置胎盘,而在24周左右时诊断的“前置胎盘”,在分娩前有半数左右胎盘位置“恢复”正常。
此外,超声检查时还会对胎盘厚度进行测量。一般来说,胎盘的厚度与孕周近似。胎盘过厚可能与妊娠期糖尿病、严重的孕妇贫血、严重的胎儿生长受限、非整倍体染色体异常、先天性感染等。合并羊水过多时,胎盘可能受到压迫而变薄。突然出现的胎盘“异常增厚“可能与胎盘早剥相关。胎盘早剥是指胎盘在分娩前从子宫壁剥离,急性胎盘早剥可能会引起胎儿死亡,亦有可能影响到母亲的安危。然而可惜的是,超声往往难以发现急性胎盘早剥。
除此之外,我们还常常在超声报告中看到关于胎盘分级的描述。目前所使用的超声胎盘分级方法(Grannum法,1979)是基于胎盘灰阶超声表现,该方法观察胎盘内是否存在钙化及钙化分布情况,分为0-Ⅲ级共四个等级,随着钙化灶增多,胎盘分级也随之增加。这一分级方法自发布以来得到了广泛的应用,有学者认为孕34周前发现Ⅲ级胎盘,应当进行密切的临床及超声随访。

胎盘附着位置、厚度、分级等均是针对胎盘形态学进行检查,然而这些并不足以反应胎盘功能。随着技术的不断发展,学者们开始采用更多新的超声技术,在保障母胎安全的前提下,努力地探索胎盘功能的精准评估。
三维能量多普勒技术( three-dimensional power Doppler,3DPD)是近些年来发展较为成熟的一项超声技术。通过对容积数据的分析,量化血液灌注情况。但随着孕周的增加,胎盘逐渐增大到超出了容积探头的采样范围,这一技术的应用也随即受到一定的限制。但不可否认的是,多项前瞻性研究发现,对于孕12周左右子痫前期疾病,三维能量多普勒技术有良好的预测能力。
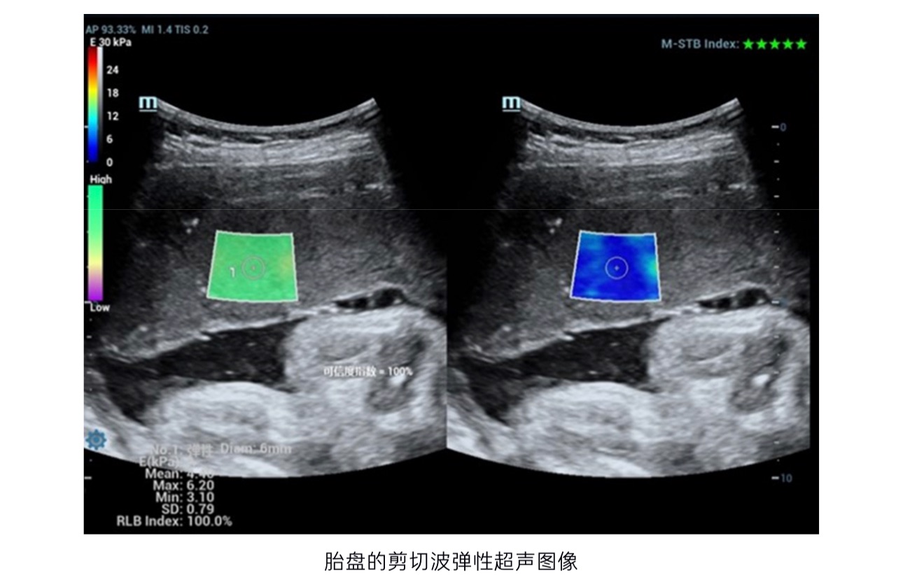
超声弹性成像技术是近年来热门超声技术。从早期的应变式到现在的剪切波,弹性成像技术的革新为精准化超声评估提供了重要的辅助作用。如果我们在身上摸到一个包块,我们会去压一压它,感受一下这个包块的软硬度。弹性超声就是将这样一个过程和结果给直观的呈现出来。早期的应变式弹性成像,就是通过超声医生手持超声探头规律地对病灶及周围组织进行按压,从而获取病灶及组织的硬度,然而这项技术有个无法回避的缺点,它无法对组织硬度进行量化评估,仅能做半定量对比或者定性分析。近些年来发展出的剪切波弹性技术,已经不再需要医生进行主动地对病灶加压,通过不同的发射激励,使得剪切波在相应组织区域内传播,再将这一信息接收返回处理,从而形成可视化的图像与可被读取、量化的数据。该技术开创性地量化组织硬度,操作方便,安全可靠、可重复性好,已被应用在肝脏、乳腺、甲状腺等组织疾病诊断中,尤其是在无创诊断肝纤维化中具有重要作用。近年来,已经有越来越多的学者将其应用在胎盘检测中。多项研究表明,妊娠期高血压、妊娠期糖尿病的孕妇的胎盘硬度要显著高于正常孕妇的胎盘。
近年来大热的人工智能技术也被应用在胎盘超声图像的评估中。有学者使用胎盘图像纹理特征预测妊娠期高血压疾病,也有学者通过利用深度学习技术,实现胎盘位置自动识别、胎盘成像特征提取等。人工智能技术为未来研究带来了新机遇,探索正常与异常胎盘图像的自动识别、建模,融合多种组学、多病种数据,用以精确评估胎盘功能,帮助实现快捷、简便地协助临床决策。

这些新兴技术将超声评估胎盘功能带入了新纪元。美国国家儿童健康和人类发展研究所称“胎盘可以说是人体中最重要的器官之一,它不仅影响怀孕期间母胎健康,还将影响母亲与胎儿的终身健康。然而我们却对它知之甚少。”该机构在2015年时启动了人类胎盘研究项目计划,旨在探索使用新的工具实时研究胎盘,以便了解它在怀孕期间如何发育和工作。我们相信,在科学家和医生的努力下,一定能够更全面的认识胎盘,监测与评估胎盘功能变化,更好的为孕期乃至分娩后母胎健康保驾护航。
作者:上海市同仁医院 超声医学科 陈乔