儿童急性肝炎之谜③新冠病毒既往感染是否有影响?疫情难辞其咎?
COVID-19大流行下,不明原因儿童急性严重肝炎病例短时间内在部分国家激增。这一异常现象和新冠病毒感染相关吗?疫情防控又会是谜团拼图里的重要一片吗?
“大量患者存在既往感染新冠病毒的情况,但在出现肝功能衰竭或急性肝炎时未出现活动性感染。”英国伦敦国王学院医院(KCH)儿科肝脏、胃肠及营养中心主任,肝细胞生物学和移植组组长Anil Dhawan教授在接受澎湃新闻(www.thepaper.cn)记者采访时如是表示。
此前的6月10日,英国伦敦国王学院医院(KCH)儿科重症监护室的研究人员在《INTENSIVE CARE MEDICINE》杂志发表了一篇文章,题为“儿童肝炎暴发:重症监护病房收治的急性肝衰竭儿童的临床病程”,Dhawan是这篇文章的通讯作者之一。国王学院医院也是全球最大的儿科肝移植中心之一。
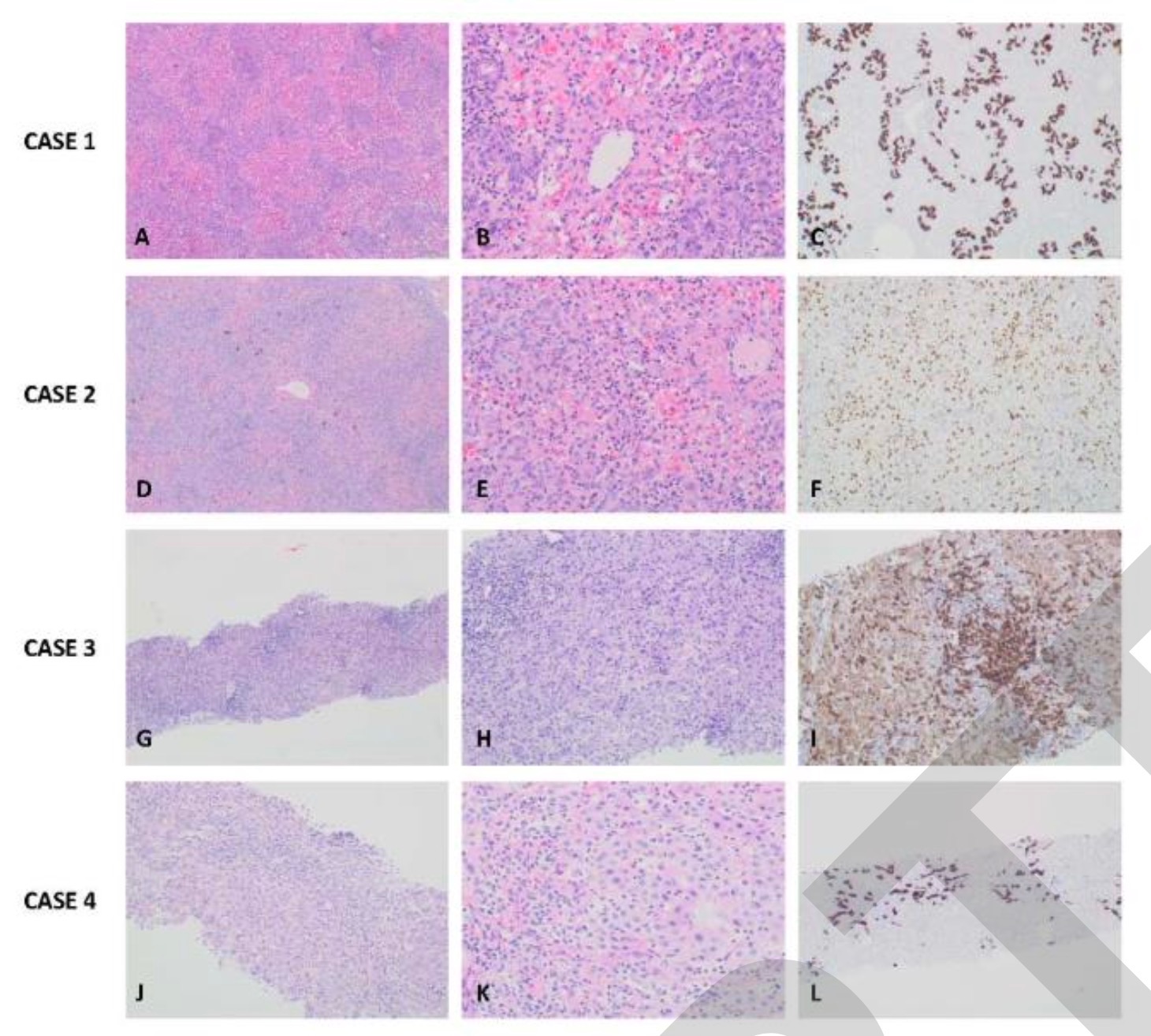
Dhawan等人研究了国王学院医院儿科重症监护室里8名出现肝衰竭的儿童,其中6名接受了肝移植。8名儿童全血中均检测到腺病毒,但能获得肝脏标本的6名儿童(接受肝脏移植者)肝脏中都检测不到腺病毒。同时,8名儿童中有6名感染过新冠病毒(SARS-CoV-2抗体阳性),占比为75%。
Dhawan等人认为,移植患儿肝细胞中缺乏腺病毒,严重的肝损伤导致急性肝衰竭可能与宿主肝脏免疫系统的异常免疫反应有关。然而,异常的免疫反应因何导致?新冠病毒既往感染、还是新冠病毒感染和腺病毒的共同影响,抑或是其他原因?
“新冠感染直接引起的可能性,目前的证据基本是不支持的。”国家儿童医学中心(上海)复旦大学附属儿科医院传染感染科主任、肝病科主任王建设教授对澎湃新闻(www.thepaper.cn)记者表示,“那牵涉到的另外一个问题就是,会不会感染过新冠之后,人的免疫反应改变了,所以产生这种情况?”
值得注意的是,作为最先向世卫组织报告病例的国家,英国各地尽管持续有新病例,但英国卫生安全局认为,即使考虑到报告的滞后,每周报告的新病例数量总体上有所下降。6月17日的详细披露中显示,英国的病例数(包括新报告病例和回顾病例)在第13周(3月21日当周)达到顶峰,随后呈下降趋势,第20周以来(5月9日当周)每周报告病例数在10例以下。趋势统计截至第22周(5月23日当周)。
“新病例的数量已经显著下降。”Dhawan表示,由于这些儿童患者的总数在下降,因此需要进行肝移植的病例数也显著下降。
“会不会它就是一过性病例的激增,也许我们不必过于惊慌?”北京大学医学部病原生物学系主任鲁凤民在近日的一场讲座中如是谈道。所谓的“一过性”指的是某一临床症状或体征在短时间内出现,又很快消失。
“我们恐怕很难找到真正的原因。”英国诺丁汉大学生命科学学院微生物学和传染病部的William Irving教授对澎湃新闻(www.thepaper.cn)记者表示,截至目前,我们不能就如何预防这些病例给出具体的建议,“因为我不知道是什么原因导致的。”
Irving同时谈到,“那些病情严重的孩子送到医院,我们会做很多事情,只是为了让他们度过急性期。幸运的是,肝脏可以再生,所以如果他们熬过了严重的损伤期,他们的肝脏就会好起来,它会重新开始做所有肝脏需要做的事情。”
新冠病毒感染在前,腺病毒触发在后?Dhawan等人在此前的研究中指出,对英国病例的病因调查发现,腺病毒呈阳性的发生率很高,主要样本来自血液,最常见的是41F型腺病毒。然而,他们的研究发现,6例移植患儿的肝脏和少数活检的组织病理学研究并没有证明肝细胞中有腺病毒,尽管都显示肝细胞坏死和肝实质萎缩。
Dhawan等人提到,肝细胞中缺乏腺病毒,但严重的肝损伤导致急性肝衰竭可能与宿主肝脏免疫系统的异常免疫反应有关。目前提出的一种假说是:第二种病毒,即腺病毒增强的SARS-CoV-2超抗原介导的免疫反应。不过,他们在文章中也指出,需要紧急肝移植的患者存在异常免疫反应的假说也正在研究中。
“这目前也只是一种假说,可能会引起异常的免疫反应,导致肝炎和肝衰竭。”Dhawan对澎湃新闻记者表示。
与新冠病毒的超级抗原相关,这一假说由伦敦帝国理工学院免疫学和炎症系教授Petter Brodin和美国加利福尼亚州洛杉矶 Cedars Sinai 医疗中心儿科、传染病和免疫学部的Moshe Arditi在国际权威学术期刊《柳叶刀·胃肠病和肝病学》(The Lancet Gastroenterology & Hepatology)上撰文提出。
Brodin等人认为,SARS-CoV-2感染后有极少的儿童存在病毒驻留在胃肠道情况,释放出与已知超抗原葡萄球菌肠毒素B高度相似基序的刺突蛋白,也就是在新冠病毒的超级抗原存在下,随后的腺病毒感染会引发高炎症反应,导致IFN-γ介导的肝损伤。
所谓超级抗原(super antigen,SAg)是一类只需极低浓度(≤10的-9次M)即可激活大量的T细胞克隆、产生极强免疫应答的物质。超抗原与普通抗原相比,不需要常规的细胞内抗原提呈,无MHC限制性。

腺病毒(AdV)增强新冠病毒超级抗原介导的严重急性肝炎的病理学示意图。
鲁凤民认为,目前对这一假说的支持证据包括:第一、不明原因肝炎儿童暴发高峰和新冠感染高峰的相对吻合的滞后发病曲线;第二、既往有研究证实,新冠病毒的刺突蛋白上一段特殊氨基酸基序具有类似金黄葡萄球菌肠毒素B这样超抗原的作用;第三、有研究报道,腺病毒感染能够加重超抗原诱导的损伤;第四、咽拭子及肺灌洗液COVID-19转阴后,约20%肠道样本的核酸检测可持续阳性,最长达7个月之久。
如果该假说成立,则前提情况是这些儿童患者均感染过新冠病毒,但实际上这方面的检测仍远远不够。同时,正如不是所有的患儿都检测出腺病毒阳性一样,在已做SARS-CoV-2 PCR检测或血清学检测的患者中,也并没有全部显示阳性。
世卫组织6月24日发布的通报显示,截至2022年6月22日,世卫组织5个区域的33个国家报告了920例原因不明的儿童严重急性肝炎可能病例。实验室检测排除了这些儿童中的A-E型肝炎病毒。虽然向世卫组织报告的数据不完整,但在一些病例中发现了其他病原体。根据现有数据,腺病毒仍然是病例中最常发现的病原体。
报告指出,在欧洲区域,有55%的病例(203/371)通过PCR检测出腺病毒。来自美国的初步报告表明,在现有结果中,45%的病例(113/252)检出腺病毒。另外,SARS-CoV-2已在部分病例中检测到,在欧洲地区,15%的病例(47/307)通过PCR检测出了SARS-CoV-2;来自美国的初步报告表明,10%的病例(8/83)检测到SARS-CoV-2。
报告同时指出,SARS-CoV-2的血清学结果的数据仍然有限。在此前5月27日披露的报告中曾显示,在当时报告的650例病例中,进行SARS-CoV-2血清学检测的仅26例,其中19例(73.1%)为阳性。需要指出的是,核酸检测只能确定患儿当下是否感染了新冠,而要看过往是否感染过新冠,则需要靠血清学检测。
另外,对上述假说,鲁凤民也总结了当下的疑点:新冠病毒的变异较大,不明原因肝炎暴发前同时有奥密克戎和德尔塔毒株的流行,与原始毒株差异较大,是否能够维持原始毒株的超抗原特性?这还有待证实。
他同时提出,Brodin等人提出的这一假说的逻辑中还缺少一环。
Brodin等人此前提出假说中详细谈到,新冠病毒在儿童胃肠道中的持续存在可导致病毒蛋白在肠道上皮细胞中反复释放,从而引起免疫激活。这种反复的免疫激活可能是由新冠病毒的刺突蛋白中超抗原基序介导的,该基序与葡萄球菌肠毒素B相似,能触发广泛和非特异性的T细胞激活。这种超抗原介导的免疫细胞激活已被认为是引起儿童多系统炎症综合征(MIS-C)的机制。
“但没有去解释为什么现在这些病例只是表现在肝脏上。”鲁凤民表示。
王建设也同样提到,“超抗原介导的假说需要去进一步观察,尽管此前有报道MIS-C病例,但现在报道的这些病例中,他们的多系统炎症反应的指标并不高,这是目前不是特别支持这一假说的一方面。”
“长新冠”儿童肝炎?不同于Brodin等人提出的新冠病毒超级抗原介导的假说,有部分研究直接将病例归因于可能是“长新冠(Long COVID)”带来的罕见表现之一。
6月10日,国际儿科胃肠病学、肝病学期刊《JPGN》发表了来自以色列的不明原因儿童肝炎研究,该研究通过彻底病情检查后,排除了其他已知病因,将具有共同临床、放射学和组织病理学特征的儿童病例进行分类,提出了儿童“长新冠”肝炎表现的两种不同的模式。
该研究题为《Long COVID-19 Liver Manifestation in Children》,研究团队包括营养学和肝脏疾病研究所、以色列代谢疾病诊所、施耐德儿童医学中心、拉宾医学中心病理学系、兰巴姆医疗中心胃肠病学研究所、特拉维夫大学等。
该研究报告了5名从新冠感染中康复但随后出现严重肝损伤的以色列儿童。研究者将其分为两种类型的临床表现的“长新冠”肝炎:急性肝功能衰竭和肝炎伴随胆汁淤积。
和世卫组织自4月起开始披露的病例不一样的是,这5名不明原因儿童肝炎重症患者均来自以色列施耐德儿童医学中心在2021年诊治的病例。
研究者报告的第一类“长新冠”肝炎出现在2名年龄分别为3个月和5个月的婴儿身上。他们之前身体健康,但迅速进展急性肝功能衰竭,需要肝移植。他们的肝脏表现出大量坏死,伴有胆管增殖和淋巴细胞浸润。第二类肝炎伴随胆汁淤积出现在3名儿童(两名8岁,一名13岁)身上。研究者对其中2名儿童进行了肝活检,淋巴细胞门和实质炎症以及胆管增殖显著可见。这3人都接受了类固醇治疗,随后肝酶得到改善,并已经可以结束治疗。
值得注意的是,研究者对所有5名患者进行了感染和代谢病因的广泛病因检查,均为阴性,排除了其他已知原因。报告的这5例病例,其平均发病时间为新冠核酸阳性之后的74.5天(范围为21天-130天)。

以色列的这一团队还表示,在近期描述的不明原因儿童急性严重肝炎病例中,腺病毒发病率的增加促使他们想进一步确认,是否可能与腺病毒感染有关。因此,该研究对所有进行肝活检或肝脏移植的患者进行了腺病毒免疫组化染色。腺病毒染色结果均为阴性,组织学特征不提示腺病毒性肝炎。三名患者从全血中进行了腺病毒PCR,其中一名患者呈阳性。然而,由于肝脏组织学没有提示腺病毒感染,以色列的这项研究不认为腺病毒是不明原因儿童肝炎的罪魁祸首。
在此次不明原因儿童急性严重肝炎引发广泛关注后,以色列的专家也针对最开始报告的12例病例进行了分析,病例来自全国不同地点,没有呈现出聚集性感染的特点。其主要症状为严重的肝脏感染和肝酶显著升高,通常伴有黄疸,部分病例出现消化道症状。目前,这些病例均已出院,其中施耐德儿童医院的2个病例因肝功能衰竭实施肝移植,其余病例在接受类固醇药物治疗后迅速好转。当时的12例病例,施耐德儿童医疗中心报告7例,沙雷泽德克医疗中心报告5例。
而在这12例病例中,有11人曾在一年内感染过新冠病毒。尽管没有明确证据表明这种不明肝炎与新冠病毒相关,但多名以色列专家在接受媒体采访时表示怀疑两者间存在联系。施耐德儿童医疗中心小儿肝移植中心主任格拉斯伯格称,在排除了各种可能性之后,发现的所有病例的共同点都是在肝炎出现前三个半月左右感染了新冠病毒。已知严重的新冠病毒感染可能会损害肝脏,因此这种不明肝炎可能是新冠肺炎的长期症状之一。
实际上,早在2021年7月,印度邦德尔坎德医学院等团队的研究人员就提交过一份预印本研究,该研究称:在临床上发现了儿童SARS-CoV-2无症状感染后的另一种表现,即一种独特的肝炎形式,他们将其命名为 “儿童新冠相关肝炎”(CAH-C)。研究还着重分析了CAH-C病例与疫情中早已引起大家关注的另一疾病——儿童多系统炎症综合征(MIS-C)之间的区别。
研究团队回顾了2021年4月至2021年7月,也就是印度第二波COVID-19大规模暴发期间,印度中部一家三级医院所有SARS-CoV-2检测呈阳性的儿童。他们对CAH-C的定义为新冠感染儿童“突发肝炎、转氨酶升高、非阻塞性黄疸、缺乏明显的炎症反应,且没有证据表明其受其他已知原因导致急性肝炎或既往潜在肝病的,同时又没有出现多系统受累情况的”情况。
在针对15873例筛查儿童中,475例(2.99)为COVID-19 RT-PCR阳性,有肝炎特征且符合纳入标准的为47例。其中37例(男:女,23:14)表现为CAH-C,即仅有肝炎症状,其他炎症标志物未升高,支持治疗后恢复顺利。而剩下的10例(男:女,3:7)MIS-C型肝炎有长期疾病,多系统受累,需要进入重症监护室,死亡率为30%。这些儿童中的大多数属2-6岁年龄段。
37例CAH-C 病例出现典型的肝炎症状,包括恶心、呕吐、食欲不振、虚弱和不超过38 ºC的发烧。2 例有急性肝功能衰竭的迹象。5例超声检查提示门静脉周围和胆囊受累,1例伴有胆囊壁增厚。胸片检查均无明显发现。
这37例患者在入院时SARS-CoV-2 RT PCR检测阴性,但所有37例CAH-C患者((100%)均感染过SARS-CoV-2,检测显示高滴度抗N蛋白抗体。但在17例检测腺病毒患儿中仅3例(17.6%)为阳性。此外,这些病例还检测出部分存在水痘-带状疱疹病毒(VZV)IgM抗体阳性、EB病毒(EBV)IgM抗体阳性、沙门氏菌阳性、登革热IgM阳性等。

印度邦德尔坎德医学院等团队的研究人员于5月9日在预印本网站再次更新了他们的伦恩,更新的内容之一就是,作者们对最新的国际事件,即不明原因儿童肝炎进行了讨论。他们指出,在这项研究中,儿童COVID-19 病例为无症状或出现轻度症状,但在感染后2-6周突然出现CAH-C。然而,这可能只是冰山一角,因为这是此类案件的初步和早期报告。
他们指出,表面上看,CAH-C病例的结果与MIS-C并不相似,他们缺乏明显升高的炎症标志物或系统性紊乱。研究人员分析称,SARS-CoV-2 是一种有效的免疫刺激剂,在CAH-C病例中,通过分子模拟导致儿童的多克隆B细胞活化,并表现为短暂的自限性过程。而MIS-C则更为严重。
与此类似的是,儿科胃肠病学、肝病学期刊《JPGN REPORTS》的5月刊也曾报道了一例罕见的健康女童感染新冠后症状轻微但随后出现急性肝衰竭的病例。美国辛辛那提儿童医院医学中心、辛辛那提大学医学院报告,一名3岁健康女童,她之前新冠感染症状轻微,但随后因自身免疫性肝炎(2型)而出现急性肝功能衰竭。这名儿童的病毒性肝炎检测呈阴性,同时也不符合MIS-C的诊断标准。
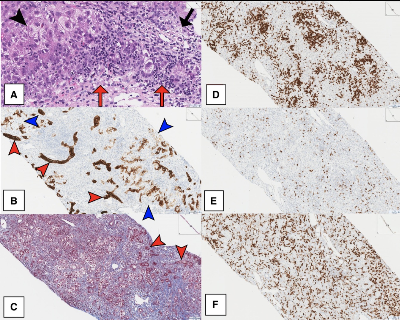
值得注意的是,研究者对女童的肝组织进行活检发现,她的肝组织出现了急性次大面积肝细胞坏死,并伴有活跃的CD3+T淋巴细胞浸润。对患儿的肝脏活检没有发现纤维化或慢性肝病的证据。

诊断性肝活检突出大量CD3+T细胞浸润和急性亚大面积坏死。A)急性亚大面积肝细胞坏死和塌陷(黑色箭头),伴有替代性纤维化、再生性变化和以单核为主的炎症(红色箭头),与代偿性增生性再生结节(非炎症区,黑色箭头)交替出现(H&E染色)。B)残余胆管(红色箭头),在小叶实质中具有双表型肝细胞(蓝色箭头),在CK7免疫染色上很明显。C)三色染色突出大量坏死后纤维化(蓝色)、再生肝细胞(浅红色)和胆管(红色箭头)。D)CD3免疫染色突出显示主要是CD3+T淋巴细胞浸润。E)CD79a免疫染色显示混合的B淋巴细胞。
医生对这名患儿进行大剂量的甲基泼尼松龙治疗后,她的丙氨酸氨基转移酶(ALT)、天冬氨酸氨基转移酶(AST)、国际标准化比值(INR)和血氨水平快速恢复正常,从而避免了肝移植。
作者们认为,这个临床个案研究揭示了儿童感染新冠病毒后与随后发展为急性肝衰竭的自身免疫性肝病之间可能存在关联。该研究的提交时间为2021年10月,考虑到这项研究的时间跨度为1年,因此研究中的3岁女童感染新冠并出现急性肝功能衰竭时间至少在2020年10月之前。
而对于新冠病毒感染后对儿童肝脏带来的影响,此前也有相关研究作出了提示。美国凯斯西储大学医学院于5月14日在医学预印本网站medRxiv上发表一项论文研究,研究者发现,与感染其他呼吸道疾病的儿童相比,新冠感染儿童出现AST(天门冬氨酸转氨酶)或ALT(丙氨酸转氨酶)以及总胆红素升高的风险比显著提高。
研究人员提到,之所以进行这项研究,是因为最近美国疾控中心(CDC)发布了一项不明原因儿童急性肝炎的全国性健康警报,引发了人们对新冠感染潜在后遗症的担忧。研究者随后对美国的全国患者电子健康记录(EHR)数据库进行了回顾性队列研究,主要收集了儿童感染新冠后的血清肝酶和胆红素升高风险数据。研究人群包括796369名1-10岁的儿童,其中245675名在2020年3月11日至2022年3月11日期间感染了新冠,550694名在同一时段内感染了非COVID的其他呼吸道疾病(ORI),后者是对照组。
结果具体来看,出现AST或ALT升高风险比例是感染非新冠呼吸疾病患儿的2.52倍(95%置信区间或CI:2.03-3.12);出现总胆红素升高的风险比例是感染非新冠呼吸疾病患儿的3.35倍(95%CI:2.16-5.18)。ALT、AST和总胆红素是肝功能重要指标。
研究者表示,这些结果表明儿童在感染新冠后,存在急性和长期的肝脏后遗症。他们同时提醒,需要进一步调查以确认研究中描述的COVID-19感染后相关肝损伤是否与目前不明原因儿童急性肝炎增加有关。
COVID-19大流行下的“免疫欠债”?在这场针对不明原因儿童急性严重肝炎的可能病因的讨论中,不容忽视的一种声音是:COVID-19大流行使得部分幼儿的免疫系统发育受到影响,换言之,这些儿童缺乏驯化免疫。
英国卫生安全局(UKHSA)此前即表示,英国的疫情防控可能造成部分幼儿与常见病原体的接触减少,导致其免疫系统的发育不同于新冠疫情前的同龄儿童,于是患儿被腺病毒轻而易举地击倒了。世卫组织在5月27日发布的通报中也总结称,有很多可能的发病机制都有待进一步研究,包括:在COVID-19大流行期间,较低水平的腺病毒传播增加了幼儿的易感性;可能出现一种新的腺病毒;SARS-CoV-2合并感染或SARS-CoV-2既往感染的并发症,导致超抗原介导的免疫细胞激活等。
王建设对澎湃新闻记者表示,“英国这些集中报告的病例基本是在他们解除防疫措施之后明显增多,至少从流行病学上来说,这中间可能是有一个联系的,这种联系是不是和新冠有直接的关系目前并不好说。”他分析认为,一旦解除防疫措施,很多的病毒感染都会增多,包括腺病毒以及其他病毒,和过往相比都有一个明显的增加。
“这些病毒之前引起肝脏疾病的机会很少,但是也是可能存在的,那么在解除防疫措施后,可能存在几种病毒共同感染的情况,导致肝炎的几率也增加,这也许是一种解释。”王建设表示。
早在今年1月底开始,英国便开始不再强制要求公众佩戴口罩,不再建议远程办公,去夜店或参加大型活动不再要求持有“健康通行证”。 2月21日,英国首相约翰逊宣布,2月24日起将逐步取消英格兰地区一切防疫措施,包括感染者隔离措施。同日英国政府发布一份命名为“COVID-19 Response: Living with COVID-19”的文件。
英国卫生安全局的报告中指出,自2021年底以来,英国10岁以下儿童中腺病毒、肠道病毒、人偏肺病毒、鼻病毒和诺如病毒的实验室检测有所增加。报告分析认为,腺病毒流行率显著升高,这些检测主要在粪便样本中得出,同时主要发生于1-4岁年龄组。
与之前的5年相比,英国1-4岁儿童在任何地点的腺病毒检测呈阳性的报告都更高。在2021年11月-2022年4月期间,每周向SGSS报告约200-300份腺病毒样本,而大流行前为每周50-150份,2020年3月-2021年5月期间则为每周不到50份。
6月14日,来自德国慕尼黑大学医院儿科、海德堡大学医院等单位的13位德国儿科消化病学、肝病学和营养学学会儿童肝移植工作组(GPGE)成员在国际肝脏病学期刊《肝脏病学杂志》(Journal of Hepatology)联合发表了一篇文章。他们的分析中指出,关于引起这些病例的人腺病毒(hADV)感染的讨论尤其有争议,因为到目前为止还没有腺病毒浸润肝脏的病例报告。
但他们预计,社会行为的改变,以及由于COVID-19大流行期间的各种措施而减少与病原体的接触,可能会导致现有的病毒感染传播模式以及个人免疫反应的变化。作者们援引了来自中国郑州大学附属儿童医院以及比利时、瑞士、荷兰等团队去年发表的两篇文章谈到,在COVID-19大流行期间,儿童群体中呼吸道合胞病毒 (RSV)和流感导致的呼吸道发病率大幅下降。他们认为,这些观察到的现象和数据支持了这一假设。
13位作者还援引了顶级医学期刊美国医学会杂志(JAMA)在1923年发表的一篇论文指出,研究人员发现,在1918年流感大流行后,严重肝炎和胃肠道症状病例数上升。
作者们还着重指出,值得关注的是,目前报告的这些不明原因儿童严重急性肝炎病例与之前的SARS-CoV2感染的潜在关联可能导致肝炎,这可能会导致肝脏的更高易感性,以及被任何其他病毒感染的情况下出现压倒性的炎症。
Irving对澎湃新闻记者表示,“在经历了两年的重大社会行为变化后,我们彼此隔离,我们与他人保持距离,我们知道这样做的影响是减少了社区的病毒感染数量,这是预防传染病的有效方法。”他进一步提到,“突然之间,我们解除了封锁,但是这些孩子还很小,也许他们的免疫系统还没有完全成熟,他们走出封锁后,正在遭受病毒感染的密集袭击。”
Irving强调,不仅是腺病毒感染的上升,“事实上,从去年冬天开始,我们在英国看到了一系列不同病毒感染的大幅上升。”
他同时谈到,这仍然只是一种假设,“但如果这是真的,或者至少如果我们被封锁的事实是这些病例的重要原因,那么预计在未来几个月,病例将会下降,它们会下降到背景水平。我认为这不仅仅是一个巧合,它发生在封锁结束之后。”
Irving反复表示,“这个现象目前很难解释,我认为有很多很多因素会导致这些病例,要弄清楚到底发生了什么是非常困难的。”
Dhawan也对澎湃新闻记者表示,“我认为这不是一种新的疾病,在隔离期间,儿童受包括腺病毒在内的常见病毒感染的机会减少,但在COVID-19隔离结束后,这些发病率增加了。”
他同时表示,“我希望并相信,至少在英国,更糟糕的情况已经过去。但我们不能自满,要继续研究,更好地了解不明原因儿童急性肝衰竭的机制,以避免肝移植及其发生。”
总体来说,业内有专家将上述现象称为“免疫欠债”。
然而,需要注意的是,这种假设也有着鲜明的质疑。例如,有国内专家指出,截至目前,中国始终坚持“动态清零”,民众一直处于很好的保护状态下,但我们国内的儿童,甚至是曾经经历过所在地方封控、随后恢复正常生活的儿童中,并没有看到不明原因儿童急性肝炎病例在短时间内异常增多的情况。
“这是不是也一定程度上支持了,这些病例的激增还是可能跟新冠病毒感染相关?因为我们现在还是在‘动态清零’的一个阶段,不管是成年人还是儿童,都没有大的感染流行。”该专家表示,国内儿童的新冠抗体阳性率是极低的,所以如果没有感染过新冠病毒,那无论是 “长新冠”肝炎的问题,还是新冠超级抗原介导的问题,都不存在。
王建设也谈到其个人的一个观点,儿童严重肝炎中本身有很高比例是病原不明的,“那么如果说有几个因素共同发生作用,有一个波动,可能就会造成这段时间病例就多了,过了的这段时间又没有了,你很难说这一波是因为什么。”
他认为,“即使在这一波里面,病因也可能不是完全一样的,混杂着不同的原因。”