“上海-泰顺”空中相连 相隔600公里的远程超声没有断线
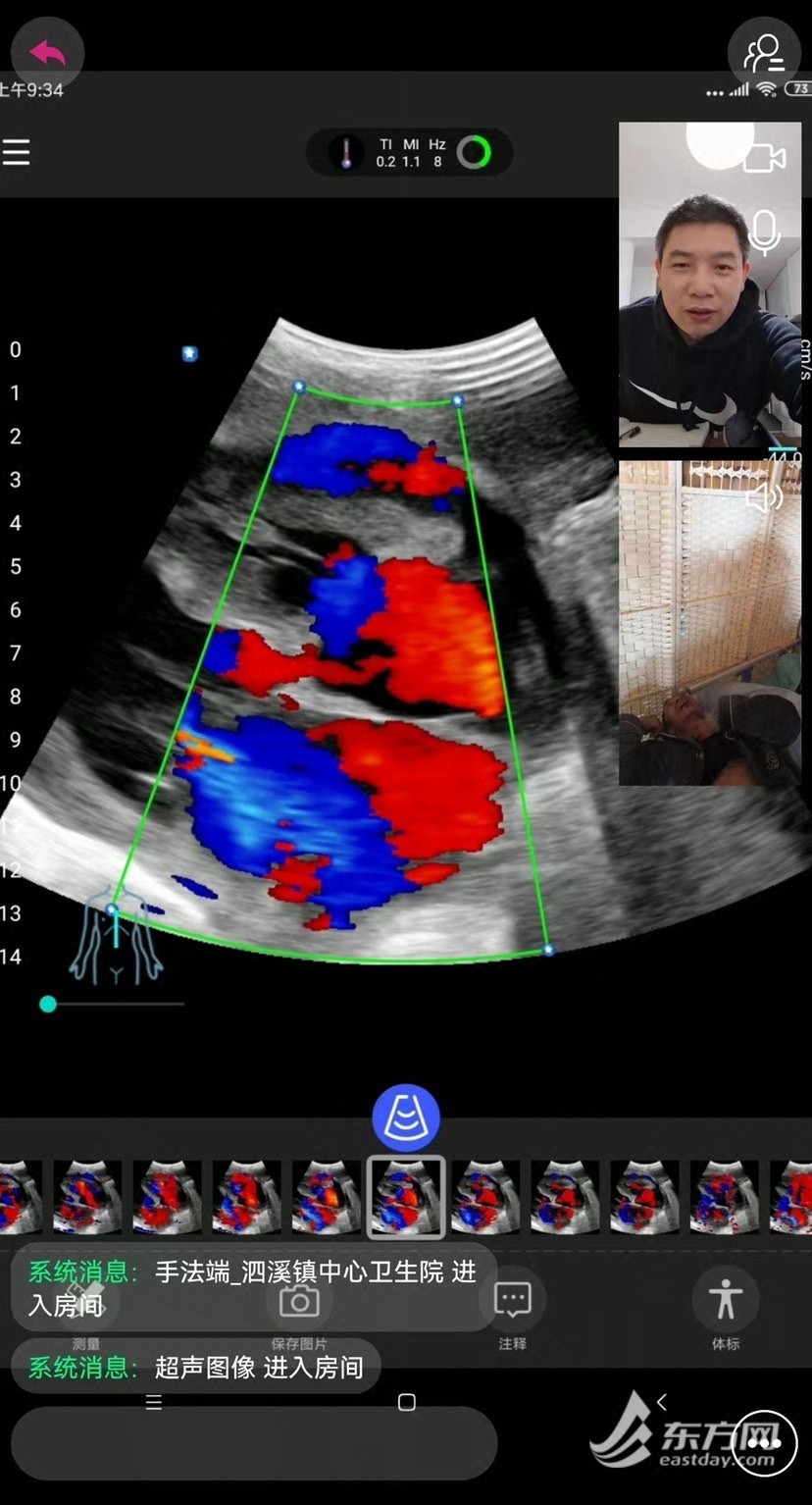
东方网通讯员张芸瑶4月15日报道:“彭主任,上午能帮我远程会诊下吗,一位行动不便的病人出现呼吸困难,需要到他家里做个超声检查。”来自浙江省泰顺县泗溪镇卫生院全科医生王德平发来会诊请求,上海市第十人民医院超声医学科彭成忠主任医师虽然因为疫情封控的缘故正在家里,但也没有丝毫耽搁,立即拿出手机,打开会诊软件,响应了需求。

王医生带着掌上超声机器来到患者家里,和彭主任进行了实时的连线会诊。超声机器扫描过的位置,图像直接呈现在彭主任的手机上,“左心增大;室间隔和心尖部心梗后改变;二尖瓣重度反流;左室收缩功能减退;心包腔积液……”得益于远程及移动超声技术的支持,这名距离上海600公里外的浙江和福建交界处一个偏僻山村的患者,在家里及时得到了超声检查,也明确了患者呼吸困难的根本原因:心功能衰竭和心包积液,为后续的治疗指明了方向。 这并不是唯一受益于远程超声支持的患者,近半个月来,泰顺县仕阳镇卫生院、横坑村卫生院、柳峰乡卓宅村等13家泰顺乡镇卫生院和村卫生室的医生先后连线上海市第十人民医院超声医学科,彭成忠、孙丽萍、张一峰、郭乐杭等超声专家们,有的隔离封控在家,有的在医院闭环管理,但依然能够使用身边的电脑或手机,为患者进行了远程实时掌上超声会诊达30余例,肝血管瘤、肝内胆道扩张、胆囊结石、肾结石、肝肾囊肿、前列腺增生等,一个个远程实时会诊帮助当地患者做出了及时的诊断。

如何在基层医疗机构中高质量推进超声检查工作、提升基层医疗服务能力?这是当前社会面临的一个重要课题。掌上超声因其小型、便携、经济等特点,是能够深入社区乃至家庭直接为百姓提供服务的医学影像装备。2020年底,国家卫健委能力建设和继续教育中心同意泰顺县作为“县域医疗卫生服务能力提升工程”超声方向试点县。经过对乡村医生一定的超声技能培训,从2021年5月开始,泰顺县13家乡镇卫生院的乡村医生使用掌上超声设备,依托网络连线,与上海市第十人民医院、浙江省人民医院的专业超声医生间突破地域限制,实现“面对面”会诊1000余例,为乡村医生普及掌上超声应用积累了较为丰富和宝贵的经验。 特别是在当前疫情防控大背景下,上海十院超声医学科的远程超声会诊中心创新工作模式、承担使命责任,坚持把人民健康放在首位,积极创造条件,虽然相隔600公里,突破病毒疫情限制,专家与患者相连相通的空中桥梁没有断线,将信息化、数字化有效结合超声医学检查,通过远程指导与会诊的方式,赋能乡村医生,对乡村或家庭患者进行准确、快速的超声评估,既提高重大疾病的首诊准确性,又减少患者非必要外出就医,做出了非常重要的先行实践。

据悉,上海超声诊疗工程技术研究中心/上海市第十人民超声医学科近年来一直致力于远程超声的设备研发、模式推广、标准制定和人员培训,先后组织了“海岛远程超声机器人诊断质量评估”“远程超声指导初学者进行乳腺/甲状腺超声检查临床获益”“远程指导POC早期干预下肢深静脉风险事件”等多个临床研究,获得诊断准确度、敏感性、特异性、耗时、患者满意度及学习曲线等远程关键指标,为远程超声落地和规范化应用提供了重要依据,成果受到国内外同行认可。同时,中心常年无偿为全国40余家医院提供远程会诊、远程培训、机器人超声诊断等多种超声服务,时刻践行着医者的仁心道义和家国情怀。