1/5
髋部骨折高龄老人如何重获行走能力→
上海奉贤2025-04-13 13:58:22

髋部骨折是老年人的常见创伤,对于高龄老人而言,骨折后往往因惧怕手术,或各种基础疾病而选择保守治疗,在长期卧床期间,患者日常生活无法自理,可能导致坠积性肺炎、褥疮、深静脉血栓等严重并发症,对于老年人来讲甚至可能就意味着死亡。

早治疗早手术,积极康复锻炼,能够提高老年人群健康水平。让我们一起看看孙奶奶和莊奶奶的故事!

奉城医院骨科的病房前,古稀之年孙奶奶和莊奶奶同为髋部骨折,正在一边做着行走康复锻炼一边聊起了家长里短!她们都因外伤,髋部剧烈疼痛、无法活动,被紧急送入奉城医院骨科。

孙奶奶股骨颈骨折

微创置换术助其重获行走自由

孙奶奶检查出来右股骨颈骨折,合并高血压,需谨慎处理。骨科主任孙大川查看后,与孙奶奶家属积极沟通:孙奶奶年纪较大,右侧股骨颈骨折并且是头下型,应早期手术治疗早期下地活动,以避免长期卧床带来的褥疮、深静脉栓塞等一系列危及生命的卧床并发症。人工全髋关节置换手术是目前最佳的治疗方案,能够提高患者生活质量、延续患者生命、恢复肢体功能。

家属认可其方案后,在九院专家朱振安教授的指导下,孙大川主任与叶茂医师共同对孙奶奶实施了“右股骨头置换术”。

凭借丰富的经验和娴熟的技术,手术仅耗时40分钟便顺利完成。

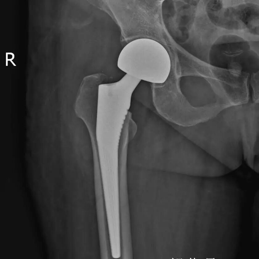
图片

术后X光片显示假体位置精准,关节对位良好

图片图片

莊奶奶复杂骨折合并心脏疾病

多学科协作保平安

莊奶奶右股骨粗隆区粉碎性骨折,合并窦性心动过缓(已安装心脏起搏器)及高血压2级,手术风险极高。

孙大川主任团队联合麻醉科、心内科多学科会诊,在全麻下开展“闭合复位内固定术”。

术中通过微创技术精准复位骨折端,植入钛合金髓内钉系统。手术全程仅1小时,出血量少。

图片

术后X光片

由于莊奶奶的高龄和复杂的身体状况,术后莊奶奶被转入重症监护室接受密切观察,采用多器官功能连续监测,有助于加速康复进程。在手术后第2天,莊奶奶的病情趋向稳定,转回了骨科病房继续治疗。

术后个性化康复助力恢复

术后护理团队分别针对孙奶奶、莊奶奶的情况定制康复计划,配合疼痛管理和心理疏导,联合康复科制定阶梯式训练计划,从床上活动到行走逐步推进。

孙奶奶术后第3天已能扶助行器独立行走,家属连连称赞:“没想到高龄手术也能这么快恢复!”

莊奶奶也在术后一周能扶助行器行走。莊奶奶感叹道:“我心脏不好,本来怕手术风险,没想到医生们考虑得比我们还细!现在每天都能在走廊散步了!”

“高龄不是手术禁区!通过微创技术、多学科协作和快速康复理念,奉城医院骨科已帮助数百位老年患者重获行动自由。让更多‘不敢手术’的患者看见希望!”

奉城医院骨科团队以高超的技术、严谨的作风和人文关怀,为老年髋部骨折患者提供“一站式”解决方案。

骨科与上海九院等三甲医院长期保持紧密合作,每周有专家坐诊、双向转诊、专家下沉手术等多方位合作,进一步将三级医院优质资源辐射至远郊,打造奉城医院重点学科,努力满足区域老百姓的需求。

专家介绍

图片

朱振安

上海第九人民医院骨科

主任医师、教授、博士研究生导师

门诊时间

周三上午

擅长:髋关节外科,疑难、复杂关节疾患诊治

图片

孙大川

奉城医院骨科主任

副主任医师

门诊时间

周六上午

擅长:颈、椎、腰、腿痛,脊椎损伤、脊椎肿瘤的诊治以及局部镇痛治疗。

选稿:倪皓月
知识产权、免责声明以及媒体合作联系
继续了解
知识产权声明

【知识产权声明】

除本司(指上海东方网股份有限公司)另行声明外,本司网页及客户端产品(以下简称“本网”),包括但不限于东方新闻、翱翔、东方头条等,所涉及的任何资料(包括但不限于文字、图标、图片、照片、音频、视频、图表、色彩组合、版面设计、商标、商号、域名等)的知识产权均属本司和资料提供者所有。未经本司书面许可,任何人不得复制、转载、摘编、修改、链接、镜像或以其他任何方式非法使用东方网的上述内容。对于有上述行为者,本司将保留追究其法律责任的权利。

东方网、东方新闻、翱翔,以上均为本司享有权利之合法商标,未经本司书面授权,任何单位或个人不得使用上述商标,或将上述商标用作网站、媒体名称等。

【免责声明】

1、凡本网注明来源“东方网”或“东方新闻”或带有东方网LOGO、水印的所有内容,包括但不限于文字、图片、音频视频,版权均属本司所有,任何媒体、网站或其他任何形式的法律实体和个人未经本司书面授权均不得转载、链接或以其他方式复制传播。与我司签订有关协议或已经获得本司书面授权许可的媒体、网站或其他任何形式的法律实体和个人,应在授权范围内使用,且必须注明来源“东方网”。其目的在于传递更多信息,并不意味着本司赞同其观点或认可其内容的真实性。如果其他媒体、网站或其他任何形式的法律实体和个人使用,必须保留本司注明的“稿件来源”,并自负全部法律责任。如擅自篡改为“稿件来源:东方网”,本司将依法追究责任。

2、擅自使用东方网名义转载不规范来源的信息、版权不明的资讯,或盗用东方网名义发布信息,设立媒体账号等,本司将依法追究其法律责任。

3、鉴于本网发布主体、发布稿件来源广泛,数量较多,如因作者联系方式不详或其他原因未能及时与著作权拥有者取得联系,或著作权人发现本网转载了其拥有著作权的作品时,请主动来函、来电与本司联系,或与本司授权的中国文字著作权协会联系,提供相关证明材料,我方将及时处理。
中国文字著作权协会联系方式:
联系人:赵洪波 唐亚静
地 址:北京西城区珠市口西大街120号太丰惠中大厦1027-1036室
联系电话:010-65978917
邮 箱:wenzhuxie@126.com

4、本网所有声明以及其修改权、更新权及最终解释权均属本司所有。

【媒体合作】

本司为尊重保护著作权,鼓励有益于社会主义精神文明、物质文明建设的作品的创作和传播,促进互联网良性发展,本着平等互惠、资源共享的原则,诚邀各类媒体、网站、单位、个人与本网建立友好的合作关系。
媒体合作、内容转载请联系
联系人:杨老师
联系电话:021-22899781