1/5
新的手术方式来啦!肠梗阻导管置入术科普→
上海奉贤2024-11-07 15:21:21

//什么是肠梗阻?

///

NOCITCE

肠梗阻是指任何原因引起的肠道通过障碍。肠梗阻的病因多数为腹部手术、炎症等引起的肠粘连。另外,疝嵌顿、肠肿瘤、肠套叠、蛔虫梗阻、粪块堵塞、腹腔炎症引起肠壁肌肉强烈收缩、肠系膜血管栓塞或血栓形成,发生肠麻痹也可以引起肠道梗阻。

//肠梗阻的主要症状?

肠梗阻的一般临床表现为“痛、吐、胀、停”,即腹痛、呕吐、腹胀、停止排气排便。

//肠梗阻的治疗方式?

症状较轻的肠梗阻患者一般通过积极禁食、胃肠减压、抗感染、抑制肠液分泌等保守治疗后,病情能得到有效控制。但部分反复发作或者发生绞窄性肠梗阻患者,则需要通过积极手术治疗。

//传统手术缺点

肠梗阻手术一般选择为开腹探查,在手术当中寻找出粘连点,进而继续行粘连松解术,此类手术的劣势:

1.需要较大的切口进行手术探查,造成术后病人切口疼痛;

2.由于术前无法明确具体梗阻点,术中会对肠管进行较多的暴露和翻动,这可能会导致脏器表面的浆膜损伤,进一步增加术后粘连形成的可能性。

新的手术方式来了!

肠梗阻导管置入术

相对于胃肠减压,它的优势为:

1.可以深入到梗阻部位附近进行吸引减压。从而更高效地吸出肠道内的积气、积液,快速缓解肠壁水肿,并且通过对梗阻部位的直接减压,能够降低肠腔内压力,改善肠壁血液循环,有助于恢复肠道的蠕动功能;

2.可以确定梗阻部位,当导管插入到一定深度后遇到阻力,再结合造影显示导管前端的位置,就能够确定梗阻大致位于肠道的哪一段,这对于后续制定治疗方案非常关键。

病例夹

李老伯,67岁,20余年前因胃穿孔行手术治疗,当时手术恢复很顺利,但近些年来,腹部疼痛反复发作,均诊断为粘连性肠梗阻,光今年上半年,就4次住院进行胃肠减压等保守治疗,十余天后好转出院。

腹痛反反复复发作,让李先生身心疲惫,严重影响生活质量。

9月,李老伯再次因腹痛来到奉城医院外科,医生在与李老伯及家属详细讨论病情后,决定施行“肠梗阻导管”置入术!

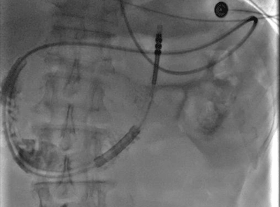
张荣副院长、张俊杰医生在DSA下置入肠梗阻导管

术后第一天,李老伯肠梗阻导管就引流出2400ml小肠液,从而使扩张的小肠迅速收缩,腹胀症状一下子就得到了缓解。

在肠道蠕动下,导管逐步深入,在到达1.8米后,无法继续下行,考虑到达梗阻点位置,在经过腹部平片确定好位置后,进行下一步手术松解治疗。

一周后,李先生顺利拆线出院,终于解决了这个困扰多年的毛病,李先生一家热情邀请“合影留念”,感谢医护的精湛医术与悉心照料。

粘连性肠梗阻的患者如果反复发作,可以置入肠梗阻导管,在迅速缓解病情的同时,可以发现梗阻点,为下一步的手术治疗做好精确定位,大大提高手术成功率及术后恢复!

选稿:许文杰
知识产权、免责声明以及媒体合作联系
继续了解
知识产权声明

【知识产权声明】

除本司(指上海东方网股份有限公司)另行声明外,本司网页及客户端产品(以下简称“本网”),包括但不限于东方新闻、翱翔、东方头条等,所涉及的任何资料(包括但不限于文字、图标、图片、照片、音频、视频、图表、色彩组合、版面设计、商标、商号、域名等)的知识产权均属本司和资料提供者所有。未经本司书面许可,任何人不得复制、转载、摘编、修改、链接、镜像或以其他任何方式非法使用东方网的上述内容。对于有上述行为者,本司将保留追究其法律责任的权利。

东方网、东方新闻、翱翔,以上均为本司享有权利之合法商标,未经本司书面授权,任何单位或个人不得使用上述商标,或将上述商标用作网站、媒体名称等。

【免责声明】

1、凡本网注明来源“东方网”或“东方新闻”或带有东方网LOGO、水印的所有内容,包括但不限于文字、图片、音频视频,版权均属本司所有,任何媒体、网站或其他任何形式的法律实体和个人未经本司书面授权均不得转载、链接或以其他方式复制传播。与我司签订有关协议或已经获得本司书面授权许可的媒体、网站或其他任何形式的法律实体和个人,应在授权范围内使用,且必须注明来源“东方网”。其目的在于传递更多信息,并不意味着本司赞同其观点或认可其内容的真实性。如果其他媒体、网站或其他任何形式的法律实体和个人使用,必须保留本司注明的“稿件来源”,并自负全部法律责任。如擅自篡改为“稿件来源:东方网”,本司将依法追究责任。

2、擅自使用东方网名义转载不规范来源的信息、版权不明的资讯,或盗用东方网名义发布信息,设立媒体账号等,本司将依法追究其法律责任。

3、鉴于本网发布主体、发布稿件来源广泛,数量较多,如因作者联系方式不详或其他原因未能及时与著作权拥有者取得联系,或著作权人发现本网转载了其拥有著作权的作品时,请主动来函、来电与本司联系,或与本司授权的中国文字著作权协会联系,提供相关证明材料,我方将及时处理。
中国文字著作权协会联系方式:
联系人:赵洪波 唐亚静
地 址:北京西城区珠市口西大街120号太丰惠中大厦1027-1036室
联系电话:010-65978917
邮 箱:wenzhuxie@126.com

4、本网所有声明以及其修改权、更新权及最终解释权均属本司所有。

【媒体合作】

本司为尊重保护著作权,鼓励有益于社会主义精神文明、物质文明建设的作品的创作和传播,促进互联网良性发展,本着平等互惠、资源共享的原则,诚邀各类媒体、网站、单位、个人与本网建立友好的合作关系。
媒体合作、内容转载请联系
联系人:杨老师
联系电话:021-22899781