1/4
全上海拔鱼刺最多的医院:一天20多例,有的还拔不了!|第医线
新民网2024-07-24 10:27:41

不久前,法语音乐剧《摇滚莫扎特》的男主角、著名音乐剧演员洛朗·班在瑞金医院“拔鱼刺”的经历被多家媒体报道,引发全网共鸣——鱼有多好吃,鱼刺就有多让人恼火!正如形容一件事闹心会用“如鲠在喉”,鱼刺卡在喉咙,逼得多少人急吼吼去医院。但是,你知道拔鱼刺要挂什么科吗?全上海拔鱼刺最多的医院是哪家?为什么小小一根刺,有时竟需用胃镜才能取出?带着一堆有关“鱼刺”的问题,记者蹲点采访发现,拔鱼刺看似简单,其实并非如此。严重的情况下,小小一根鱼刺甚至会引发出血或穿孔。

图说:五官科医院急诊 新民晚报记者 左妍 摄(下同)

一小时来了4个拔鱼刺的

上周日晚上6时许,记者来到复旦大学附属眼耳鼻喉科医院(上海市五官科医院)急诊,这里是号称全上海拔鱼刺最多的医院,每天都有人被鱼刺卡住而不得不来此求助。“我们急诊24小时开放,每天都有至少二十多个来拔鱼刺的患者。如果遇到节假日则会更多,把酒言欢之际,异物就容易‘趁虚而入’。”急诊科主任张明告诉记者。

“才六点多,就连着拔了2个呢!44岁的鲁先生鱼刺卡在扁桃体,56岁的徐阿姨鱼刺卡在舌根部,好在处理起来都不算难。”在急诊耳鼻喉科的诊室里,刚刚拔完鱼刺的值班医生张阳告诉记者,在鱼刺位置偏上、病人配合度较高的情况下,一般几分钟即可拔出;若遇位置偏下或深度较深,拔刺过程中病人频繁干呕等情况时,则需花费更多时间。

鱼刺卡在不同的部位,使用的工具也不一样。张阳指着工具台上的银色器械告诉记者,“这个是枪状镊,如果卡在扁桃体部位,我们用镊子就可以夹取。再深一点,就用这种弯头的异物钳。当然,也有卡得‘不巧’的,比如鱼刺卡在了食管里,我们在急诊室还处理不了,需要胃镜或全麻后在食道镜下取出。”

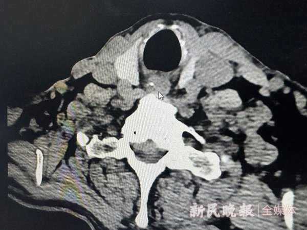
图说:CT报告上箭头所指的就是一根鱼刺

69岁的徐先生就遇到了“不巧”的情况。他牙不好,吃东西无法充分咀嚼,晚饭时吃了带鱼,一边吃一边说话,想不到一根鱼刺扎在喉咙口。他试了吞饭团、喝醋,也试过使劲咳嗽,鱼刺就是出不来。“我以前吃鱼也被卡过,来五官科医院就取出了,所以这次我从浦东专门赶来。”徐先生告诉接诊医生王家莉。

“一般能看到的就能取出,这个鱼刺看不到,就要做个CT。”王医生说,在CT报告上,能清晰地看到这根鱼刺卡在了食管,耳鼻喉科医生已无法在急诊室施展“技能”。她建议徐先生晚上不要再吃喝东西,急诊入院全麻下硬管食道镜下取或第二天一早去综合性医院做胃镜取出。

拔鱼刺也分多种情况

“拔鱼刺这件看似简单的小事,其实也分好几种情况。”张明告诉记者,如果鱼刺卡在扁桃体表浅处或舌背上,张嘴就能看到。没有看到的话,就要借助间接喉镜观察。亮亮的小镜子就像潜艇的潜望镜,可以扩大视野,看清楚直视看不到的地方。如果还是没有看到,会使用电子喉镜仔细探寻。经历这几步,多数鱼刺能被清楚定位。但是,当鱼刺过于隐蔽时,就需要做CT来确定位置。

图说:王家莉在为患者检查

容易看到的那些鱼刺,拔起来也相对容易,一把镊子或异物钳就能又稳又准地解决问题。更深位置的鱼刺,只能借助其他工具在内镜下拔。比如,徐先生那根鱼刺刺入了食管,就得用胃镜或食道镜处理。

有意思的是,中国医生是全世界最擅长拔鱼刺的,通常情况下三下五除二就能为患者解决困扰,收费只要几十块。中国医生的这项“绝活”今年春节期间还上过热搜。这是因为中国人淡水鱼吃得多,遇到的“刺”也多,而欧美国家人们更多食用的是海洋鱼类。两者主要区别之一就是缺少肌间骨,也是吃鱼会不会卡鱼刺的关键。

在五官科医院接诊的拔鱼刺患者中,以中老年居多,老年人舌头灵活度不高,对鱼刺又没那么敏感,如果一边聊天一边吃鱼,容易被鱼刺卡住。“除了鱼刺,还有鸡骨、鸭骨、枣核也很容易卡住,有时候还会遇到吃烧烤的竹签、一次性筷子上的刺等,卡住喉咙的异物五花八门。”张明告诉记者,老年人的假牙也是“危险因素”,有的假牙带金属钩,很容易划伤食管。

“土办法”不管用还危险

喉咙里感觉有个东西,一定是有鱼刺吗?其实也不一定。如果只有异物感而没有明显刺痛,也不影响吞咽,要么鱼刺比较小,要么是鱼刺擦伤但已经脱落。遇到这种情况,医生检查后通常会建议患者先观察一下。如果感觉疼痛或者异物感症状加重,再及时就诊做检查。

图说:小伙子误认为自己被鱼刺卡住,其实只是扁桃体附近长了溃疡

有时候,人还会出现被鱼刺卡住的幻觉。记者采访的这段时间,就有两位患者自认为被鱼刺卡住喉咙好几天,医生看了半天始终没有发现鱼刺的踪影,其中一人是扁桃体附近长了口腔溃疡;另一人验血后发现是急性感染。

被鱼刺卡住后,几乎80%的患者都尝试过吞米饭、喝醋等“土办法”,这些办法不仅没用,有的还十分危险。张明说,醋没法在短时间内软化鱼刺,即便把一根鱼刺完全浸在醋里,它也不会有什么显著变化。吞米饭容易把原本在咽喉部位的鱼刺带入食道,相当于将钉子越钉越深,带来更大的危害,比如穿破动脉危及生命、穿出食道致食道穿孔。因此,遇到鱼刺卡喉要立即停止进食,可以先试试咳嗽,看看能否咳出,如果不行,最好及时就医。

张明提醒,老年人尽量少吃有小刺的鱼;吃鱼时要专心剔刺,注意细嚼慢咽,尤其不要边吃鱼边聊天;最好单独吃鱼,不要混在米饭里一口吞。

作者:左妍
选稿:周玮
知识产权、免责声明以及媒体合作联系
继续了解
知识产权声明

【知识产权声明】

除本司(指上海东方网股份有限公司)另行声明外,本司网页及客户端产品(以下简称“本网”),包括但不限于东方新闻、翱翔、东方头条等,所涉及的任何资料(包括但不限于文字、图标、图片、照片、音频、视频、图表、色彩组合、版面设计、商标、商号、域名等)的知识产权均属本司和资料提供者所有。未经本司书面许可,任何人不得复制、转载、摘编、修改、链接、镜像或以其他任何方式非法使用东方网的上述内容。对于有上述行为者,本司将保留追究其法律责任的权利。

东方网、东方新闻、翱翔,以上均为本司享有权利之合法商标,未经本司书面授权,任何单位或个人不得使用上述商标,或将上述商标用作网站、媒体名称等。

【免责声明】

1、凡本网注明来源“东方网”或“东方新闻”或带有东方网LOGO、水印的所有内容,包括但不限于文字、图片、音频视频,版权均属本司所有,任何媒体、网站或其他任何形式的法律实体和个人未经本司书面授权均不得转载、链接或以其他方式复制传播。与我司签订有关协议或已经获得本司书面授权许可的媒体、网站或其他任何形式的法律实体和个人,应在授权范围内使用,且必须注明来源“东方网”。其目的在于传递更多信息,并不意味着本司赞同其观点或认可其内容的真实性。如果其他媒体、网站或其他任何形式的法律实体和个人使用,必须保留本司注明的“稿件来源”,并自负全部法律责任。如擅自篡改为“稿件来源:东方网”,本司将依法追究责任。

2、擅自使用东方网名义转载不规范来源的信息、版权不明的资讯,或盗用东方网名义发布信息,设立媒体账号等,本司将依法追究其法律责任。

3、鉴于本网发布主体、发布稿件来源广泛,数量较多,如因作者联系方式不详或其他原因未能及时与著作权拥有者取得联系,或著作权人发现本网转载了其拥有著作权的作品时,请主动来函、来电与本司联系,或与本司授权的中国文字著作权协会联系,提供相关证明材料,我方将及时处理。
中国文字著作权协会联系方式:
联系人:赵洪波 唐亚静
地 址:北京西城区珠市口西大街120号太丰惠中大厦1027-1036室
联系电话:010-65978917
邮 箱:wenzhuxie@126.com

4、本网所有声明以及其修改权、更新权及最终解释权均属本司所有。

【媒体合作】

本司为尊重保护著作权,鼓励有益于社会主义精神文明、物质文明建设的作品的创作和传播,促进互联网良性发展,本着平等互惠、资源共享的原则,诚邀各类媒体、网站、单位、个人与本网建立友好的合作关系。
媒体合作、内容转载请联系
联系人:杨老师
联系电话:021-22899781